Carillas dentales de porcelana

¿Qué son las carillas dentales de porcelana?

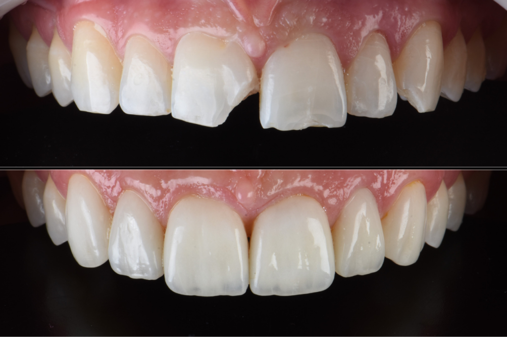
Las carillas de porcelana son láminas ultrafinas de cerámica que se adhieren a la cara visible del diente para mejorar forma, color y proporciones con un resultado natural. Son una alternativa de alta estética cuando querés armonizar tu sonrisa sin perder la identidad del rostro.

En Clínica Furlan trabajamos con un enfoque de odontología estética de alta precisión: planificación digital, escáner intraoral 3D y una ejecución clínica cuidadosa para que el cambio se vea elegante, creíble y estable.

El objetivo no es que los dientes queden "perfectos" en serie, sino que se vean naturales: con textura, brillo y proporciones armónicas para tu cara.

Tecnología aplicada

Escáner intraoral 3D, planificación estética y CAD/CAM

Escaner intraoral 3D

Registros digitales precisos y cómodos (sin impresiones convencionales).

Fotografía clínica

Análisis de sonrisa, línea media, proporciones y relación con labios.

Planificación digital del diseño

Definimos forma, longitud y volumen antes de tocar el diente.

Mock-up (prueba estética)

Cuando corresponde, probás el diseño en boca antes de avanzar.

Tecnología CAD/CAM en el laboratorio

Confección de carillas con alta precisión a partir del diseño digital.

Terminación manual / artística

Caracterización final para lograr armonía, textura y naturalidad (sin aspecto artificial).

Cómo es el tratamiento de carillas en Clínica Furlan

Paso 1

Evaluación y Diagnóstico

Analizamos tu caso y definimos si las carillas son la mejor indicación. No todo se resuelve con carillas: si hay problemas de encías, oclusión o desgaste, primero se ordena el sistema.

Paso 2

Diseño y previsualización

Con escaneo 3D y fotos planificamos el diseño. Si el caso lo requiere, hacemos un mock-up para validar estética y función.

Paso 3

Preparación conservadora (cuando es necesaria)

En muchos casos se realiza una preparación mínima. La prioridad es conservar estructura dental y lograr un perfil de emergencia natural.

Paso 4

Confección en porcelana (CAD/CAM) y prueba

Las carillas se confeccionan en cerámica utilizando tecnología CAD/CAM para precisión y consistencia. Luego se realizan ajustes y una terminación manual/artística para lograr un resultado armónico y natural. Realizamos una prueba para ajustar forma y estética.

Paso 5

Cementación adhesiva

La adhesión es un paso crítico. Aplicamos un protocolo adhesivo cuidadoso para maximizar precisión, sellado y longevidad.

Paso 6

Controles y mantenimiento

Indicamos controles y mantenimiento profesional. Una buena higiene y el control periódico sostienen el resultado en el tiempo.

¿Para quién está indicado?

Las carillas de porcelana suelen ser una excelente opción si buscás un cambio estético visible, pero natural.

La indicación final depende de: salud de encías, cantidad de esmalte disponible, hábitos (bruxismo) y expectativas estéticas. En la consulta definimos el plan realista y el alcance del tratamiento.

Preguntas frecuentes (FAQ)

Depende del caso. En muchos pacientes la preparación puede ser mínima. El objetivo es conservar estructura y lograr una transición natural con la encía.

Generalmente es bien tolerado. Si se requiere preparación, se trabaja con anestesia local para asegurar comodidad.

La duración varía según el caso, hábitos (bruxismo), higiene y controles. Con buena indicación y mantenimiento, pueden acompañarte por muchos años.

Sí. La combinación de diseño digital, confección precisa CAD/CAM y terminación manual/artística permite un resultado armónico, con textura y brillo creíbles.

Higiene diaria, controles periódicos y evitar hábitos de riesgo (morder objetos duros). Si hay bruxismo, puede indicarse una férula de protección.

Si estás pensando en carillas dentales de porcelana, lo más importante es una evaluación con planificación. En Clínica Furlan te guiamos con precisión y transparencia para lograr un resultado estético natural y estable.